Straighten Your Teeth With Invisalign From *$39/Week

*Terms & Conditions Apply
(Offer expires on 30th September)

Here's What's Included

Invisalign Treatment Process​

1.

Consultation: Chat with our trusted dentists about how Invisalign can give you your best smile. We’ll analyse your teeth and take digital scans and OPG*

2.

Design and preview: Seeing is believing. Your dentist can show you an advanced 3D projection of your new smile before you even get started.

3.

Just keep smiling: See visible results as your teeth gradually move into their correct position. Wear your aligners for 20-22 hours a day, change them every two weeks, and visit us every six weeks to monitor the treatment.

Think You Can't Afford Clear Invisalign?

Take advantage of out flexible payment plans using any of the following:

humm
denticare
supercare
$39 per week

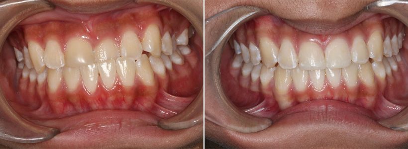
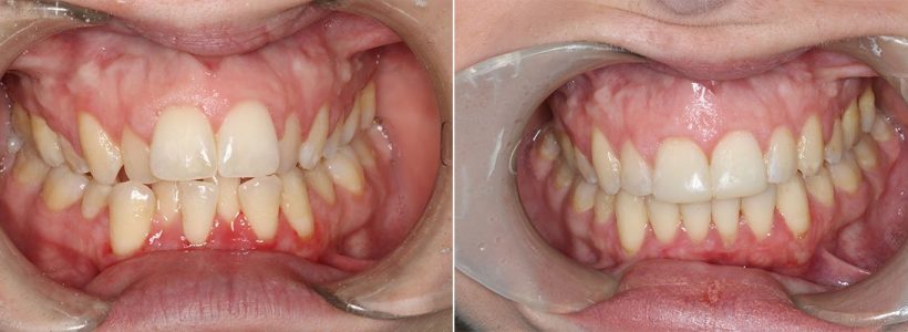
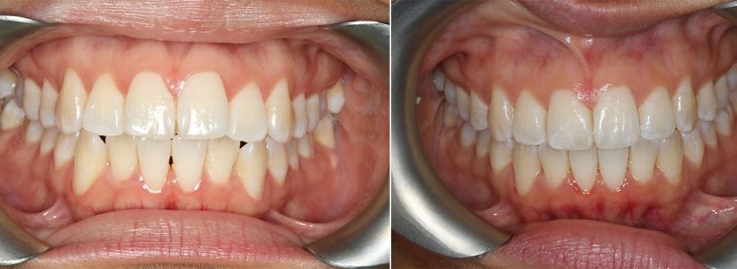
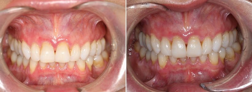
Smile Gallery

© 2026 Dentists of Ivanhoe