Searching for a dentist near me? Welcome to our clinic in Ivanhoe – where beautiful smiles and gentle care come together.
At Dentists of Ivanhoe, customer service is at the heart of everything we do. That’s why we’re committed to providing new and existing patients with personalised dental services that will make them feel and look their absolute best.
At Dentists of Ivanhoe, we’re changing the story of what it means to visit the dentist.
From the moment you walk in, our calm environment, thoughtful touches, and patient-first care make your visit feel less like an appointment, and more like time spent on your wellbeing.
We take the time to listen, support, and understand our clients – because exceptional results start with genuine care.
Combined Years of Dental Experience
(Dentists/OHT's)
Happy Patients
T
Years in The Community
Since DOI Was Born in 1995
For over 25 years, Dentists of Ivanhoe has been committed to providing patients of all ages with comprehensive general and cosmetic dental care. As your trusted dentist near me just across northern Melbourne, we’re on a mission to redefine dental visits.
With a focus on preventative care, our team is dedicated to developing a personalised treatment plan that will help you achieve and maintain long-lasting oral health....
Thanks to our highly-trained and passionate team, we’re proud to be the dentists of choice in Ivanhoe, having created a practice that has been built on almost three decades of trust and reliability. Our success is driven by maintaining long-term relationships with all our patients and providing a broad range of dental treatments and services.
Our dentists are highly accredited and are local to the Ivanhoe suburb. If you are from the area, there is a good chance that you might have seen us out-and-about in the community.
Our practice is conveniently located on 61 Upper Heidelberg Road, just off the main street and a quick 2 minute walk from Ivanhoe Railway Station.
We’re here to make life easier, not more complicated.
Need a scan, a crown, or even a referral? We’ll handle the logistics, schedule appointments, and coordinate your care, so that you don’t have to.
With our advanced in-house technology and seamless teamwork, we are able to support you at every step.
You won’t find hard sells or rushed conversations here.
What you will find is open dialogue, respect for your time and budget, and treatment plans tailored to what truly works for you.
Because trust isn’t just part of the service. It is the foundation of everything we do.
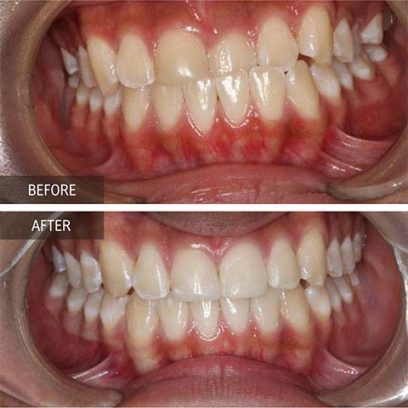
At Dentists of Ivanhoe, we have helped many patients gain improved confidence by creating a beautiful smile they love. We look forward to meeting you and working together to achieve the smile you have always dreamt of. View some of our wonderful patients showing off their transformed smiles.
An OPG (Orthopantomogram) is a comprehensive dental x-ray that captures the teeth, jaws and surrounding structures in one image. Rather than focusing on just one tooth at a time, it gives your dentist a more complete overview of your oral structures and how they relate to one another.
This type of imaging may be recommended for wisdom teeth evaluation, orthodontic planning, monitoring dental development, or assessing concerns that involve the jaw and multiple teeth together.
At Dentists of Ivanhoe, we only recommend OPG scans when clinically appropriate. If one is advised, our team will explain why it may be helpful and how it can support your assessment or treatment planning.
A LAT CEPH (Lateral Cephalometric X-ray) is a specialised side-view x-ray that captures the teeth, jaw and facial profile in a single image. Unlike standard dental x-rays that focus mainly on individual teeth, this scan looks at how the jaws and facial structures align and develop together.
It is commonly used in orthodontic treatment planning, particularly for braces and clear aligners, where understanding jaw position and bite relationship is important. A LAT CEPH scan may also be helpful when assessing facial growth, jaw alignment, airway space, or other concerns related to bite and skeletal development.
Because it captures both hard and soft tissue structures together, this type of imaging can give dentists and orthodontists a clearer understanding of how the teeth, jaws and facial profile relate to one another when planning treatment.
If you've been referred for a LAT CEPH scan or would like to learn more about the imaging services available at Dentists of Ivanhoe, our team will be happy to assist you.
Sometimes, a regular dental x-ray doesn't show the full picture. CBCT (Cone Beam Computed Tomography) is a type of 3D scan that gives a more detailed view of your teeth, jaw, nerves and surrounding bone, helping your dentist better understand what's happening beneath the surface when needed.
It may be recommended for treatments such as dental implants, root canal therapy, wisdom teeth assessment or orthodontic planning, where a more detailed view can assist with diagnosis and treatment planning.
At Dentists of Ivanhoe, CBCT scans are only recommended when clinically appropriate. If a scan is advised, our team will explain why it may be helpful and what information it can provide for your treatment.

Veneers can help you change the shape, colour and position of your teeth. At Dentists of Ivanhoe, we work with you to create a new smile you can feel comfortable in.

































Restore your smile and function of your mouth with dental implants. If you have a missing tooth or multiple missing teeth, our highly skilled dentists at Dentists of Ivanhoe can replace it with our revolutionary restorative dentistry treatment.
Don’t let your fear of the dentist prevent you from getting the care you need when it comes to your oral health. We understand that a lot of people are nervous about visiting the dentist. That’s why we’re proud to provide the highest standard of care in comfortable surroundings so you can feel at ease in our chair.
Committed to ensuring the comfort and wellbeing of all our patients, we devote our time and advanced resources to offer a patient-centric dental experience that fosters positivity throughout their journey. We take the time to understand your apprehensions and address your concerns. With strong ties to the local community, our dentists and oral health therapists have proudly been servicing the locals of Ivanhoe, Northcote, Bulleen, Heidelberg, Preston, Coburg, Alphington, Kew, Thornbury, and surrounds for over 25 years.
Need a dentist near me?
We invite you to book your consultation at our conveniently-located clinic so you can experience our gentle touch and manner.
Payment plans and convenient after-hours appointments available.
Years of Combined Experience
Experienced dentists who care about your smile.
Happy Patients
Thousands of patients trust us to keep their smiles healthy
Years in the Community
Proudly caring for smiles for over four decades
Posted on Renato NatoliTrustindex verifies that the original source of the review is Google. Dr Irena is so caring, she always makes me feel not so nervous with her beautiful nature, thanks for all you do Dr Irena, you having given me a beautiful smile.Posted on Susan KilkennyTrustindex verifies that the original source of the review is Google. You take a very nervous patient and add Madison and Terry whom welcome you at reception breaking down the fear with pleasant smiles, instructions and light conversation. Then you meet Dental nurse Bree who settles you into the procedure room and reassuringly answers some questions related to treatment, by this time Dr Irena joins us and proceeds to talk me through our next process back to good dental health. These people are highly skilled at there individual jobs and they do them well. I must have had the A TEAM. I have full confidence in recommending Dentist Of Ivanhoe for all Dental needs.Posted on Taylor RayTrustindex verifies that the original source of the review is Google. Couldn’t recommend the team at Dentists of Ivanhoe anymore. From the reception, to Tayla and Bree for their top quality service, care, professionalism and just their kind hearted personality’s. Will be back in 6 months for my checkup 🤪🙌🏽Posted on Ainslie HodgkinsonTrustindex verifies that the original source of the review is Google. I feel nervous having my teeth cleaned (bad experience in the past) - …..Daniel is not only very experienced, and highly professional, he has an extremely caring and thoughtful demeanour. Thanks Daniel! AinsliePosted on Soss16Trustindex verifies that the original source of the review is Google. Took such good care of me when I came in with an infected wisdom toothPosted on Anna BarroTrustindex verifies that the original source of the review is Google. Nadia was very professional and knows what she is doing.Posted on Sophie BangsTrustindex verifies that the original source of the review is Google. I had a wonderful experience at Dentists of Ivanhoe. My initial consult and clean was with Nadia, who was incredibly lovely, thorough and efficient. She made the whole process extremely comfortable, putting my mind at ease and provided her knowledge about the options for services I enquired about. Dr Irena then completed the dental assessment and imagery and was also incredibly lovely, genuine and comprehensive. Irena provided a very relaxed space and gave me detailed information and a plan for my teeth going forward. I could not recommend Dentists of Ivanhoe more!
A fee may be charged for appointments cancelled without 48 hours notice.