SMILE GALLERY

Composite & Porcelain Veneers – Before & After

Composite and Porcelain Veneers are one of the most popular dental restorations used to enhance the appearance of your smile and correct issues such as chipped, discoloured or misaligned teeth. Strong, long-lasting and natural in appearance, you can choose between both types of veneers at Dentists of Ivanhoe.

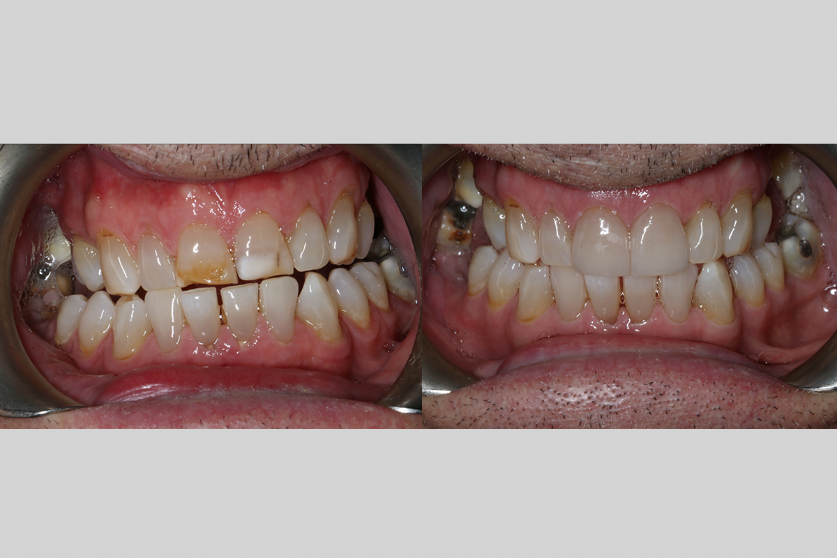
Crowns and Bridges – Before & After

A dental crown or bridge can restore the smile and confidence of patients with missing teeth, cracked or chipped teeth. With a natural look and feel, these restorations help patients gain full functionality of their mouth for many years to come.

Invisalign – Before & After

Our custom-designed, clear dental aligners by Invisalign are a popular and discreet solution among teens and adults to correct crooked or misaligned teeth. If you are interested in straightening your smile, our team can help you create a plan that is tailored just for you.