Sew Chin
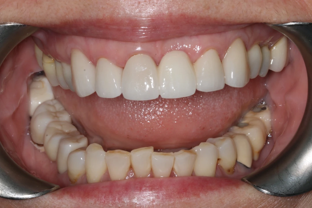
Problem
Old worn & stained upper bridge. Patient was unhappy with the colour and how the margin of her existing crowns and bridge were showing.
Treatment
First take-home teeth whitening was performed. Then we replaced the old bridge and placed new crowns and veneers on her upper front six teeth to aesthetically boost her overall smile.
Treatment Duration
Three visits over three months
Before

After

Before

After



