Isabelle
Problem
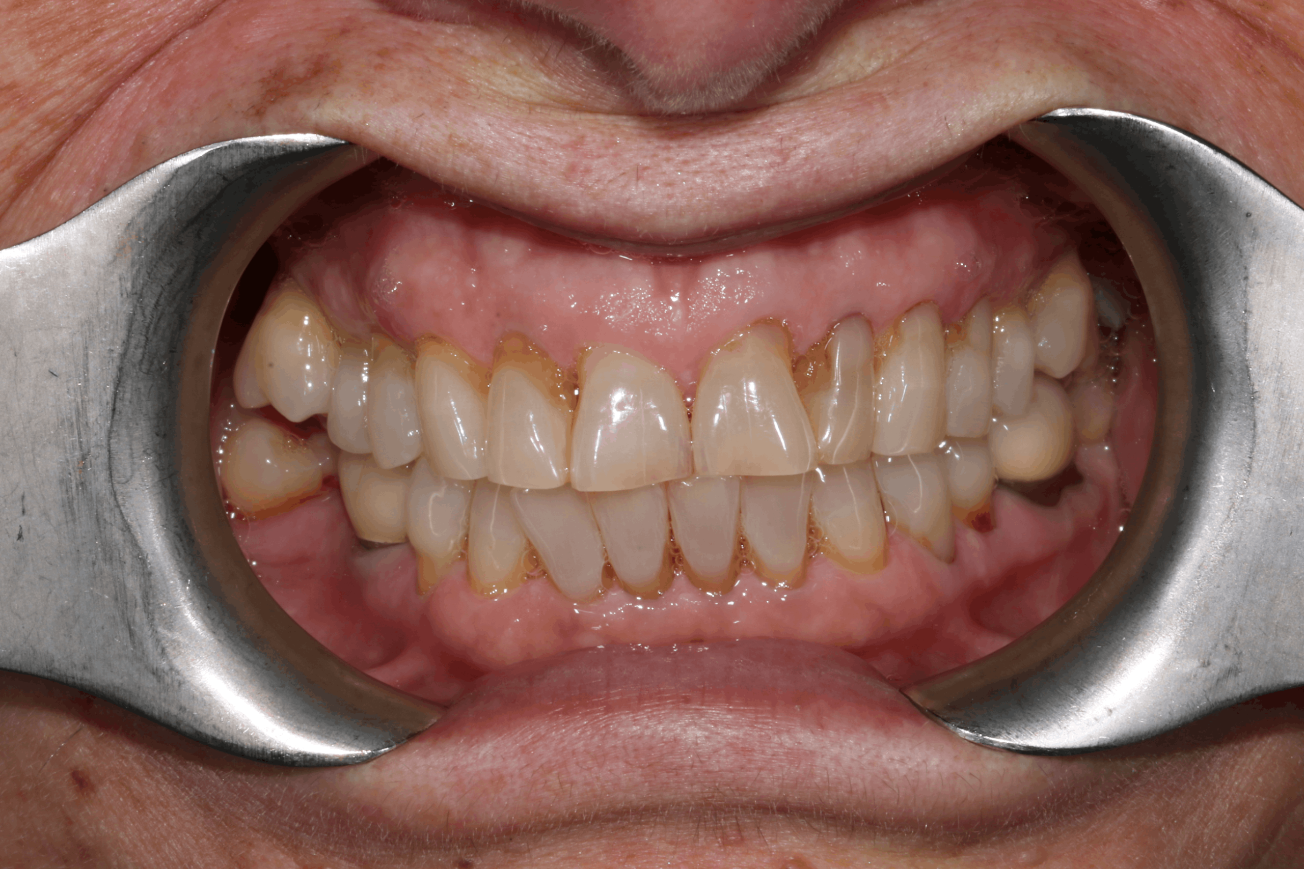
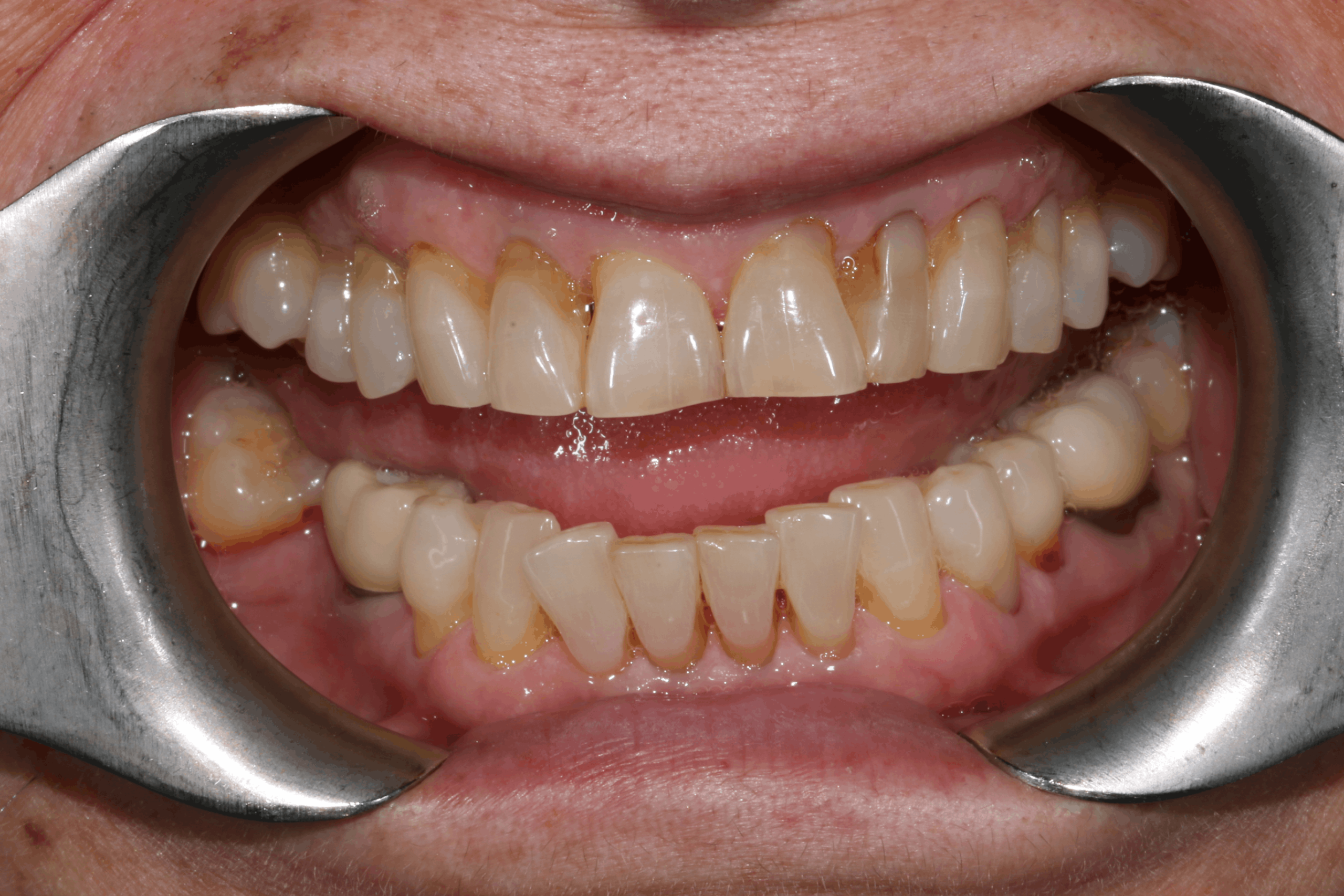
Isabelle was unhappy with her worn down & uneven upper front teeth.
Treatment
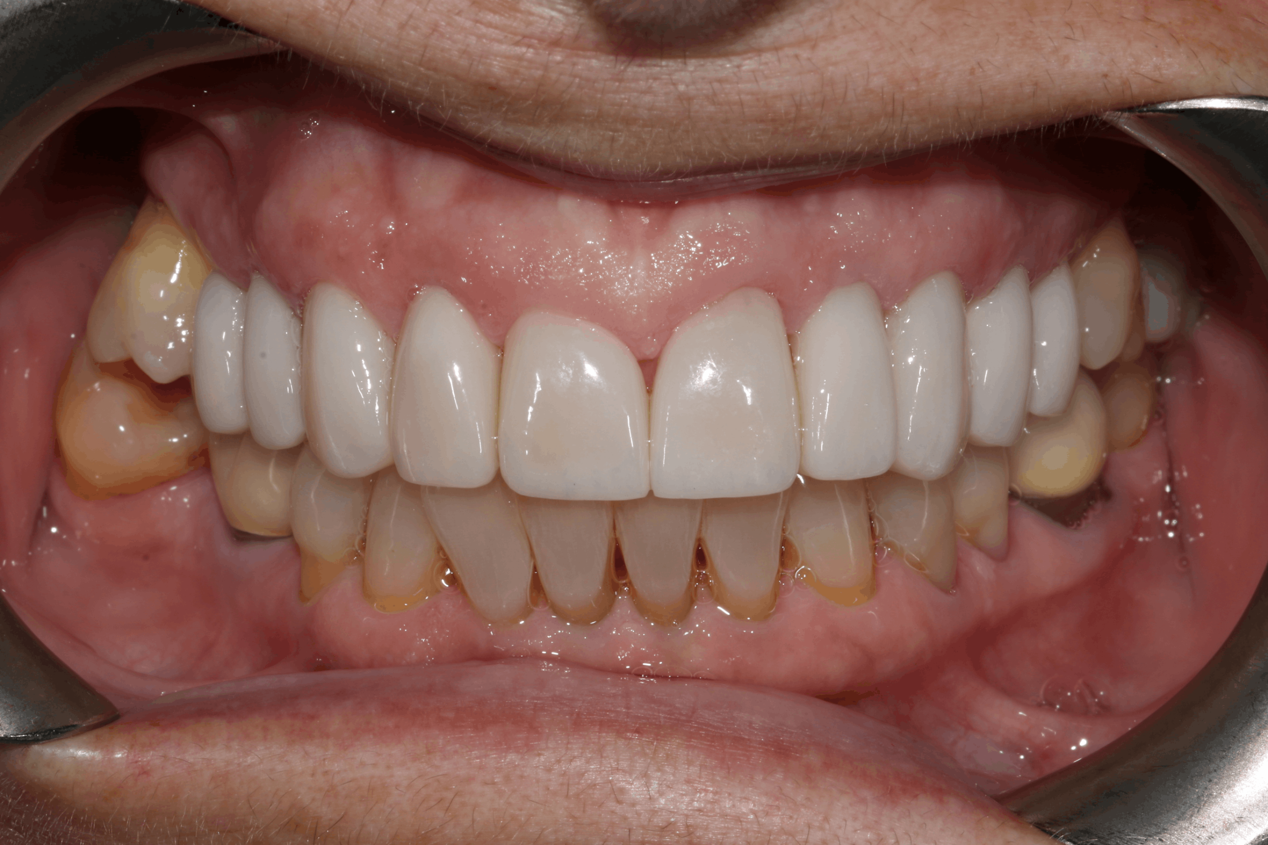
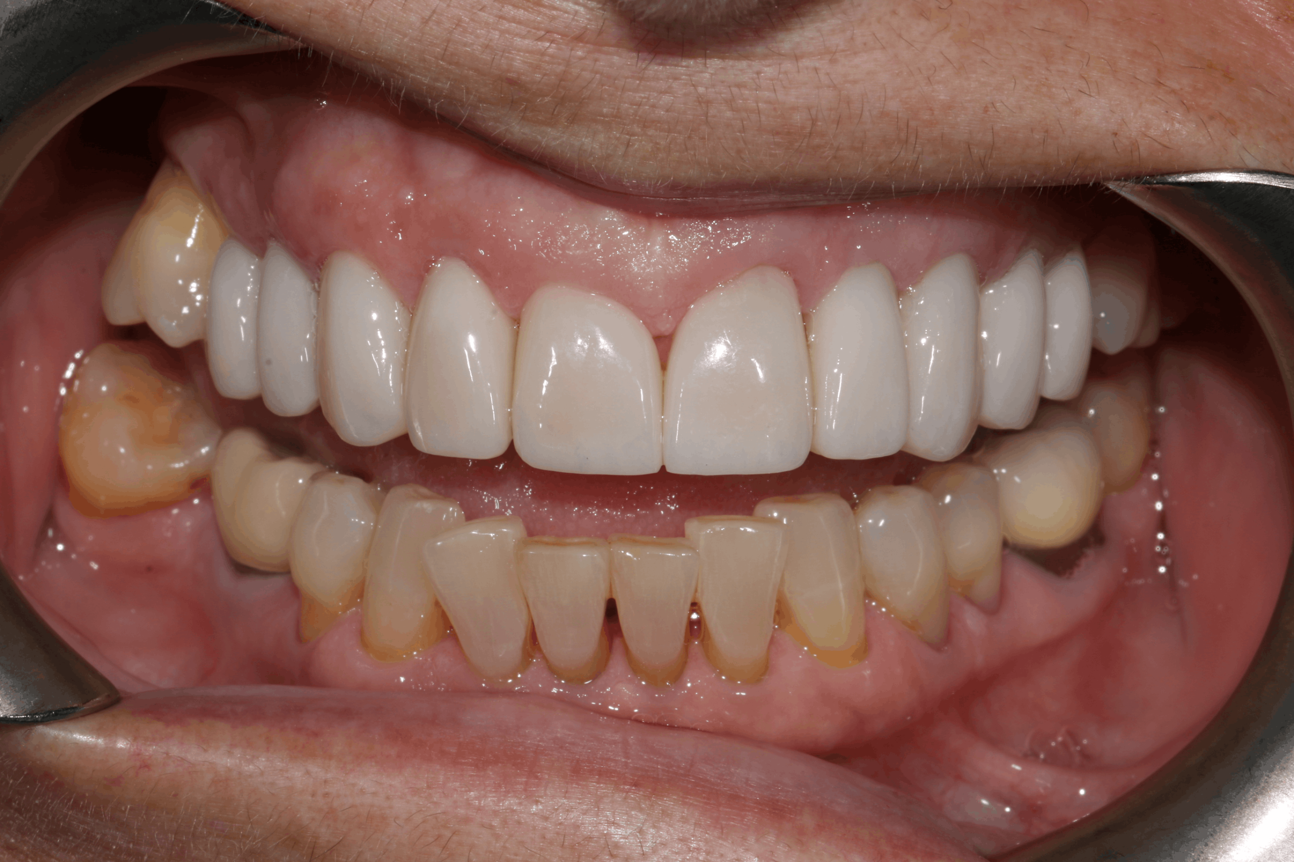
Isabelle started with a routine dental examination and clean, followed by treatment with Dr Shehan, including ten upper porcelain veneers and a crown. She completed her treatment with a custom night guard to maintain and protect her results.
Treatment Duration
Seven visits
Before

After

Before

After



