Georgette
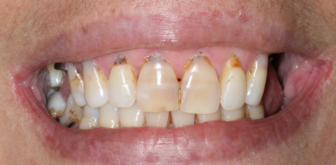
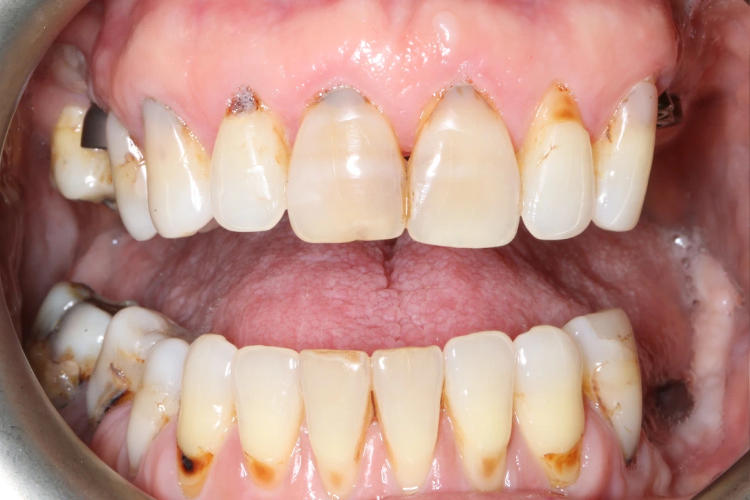
Problem
Georgette was suffering for several years with broken down, decayed and missing teeth. Her dental anxiety prevented her from seeking treatment in the past. She wanted a long-lasting solution that would improve her smile and function with a team that can help her with her dental anxiety
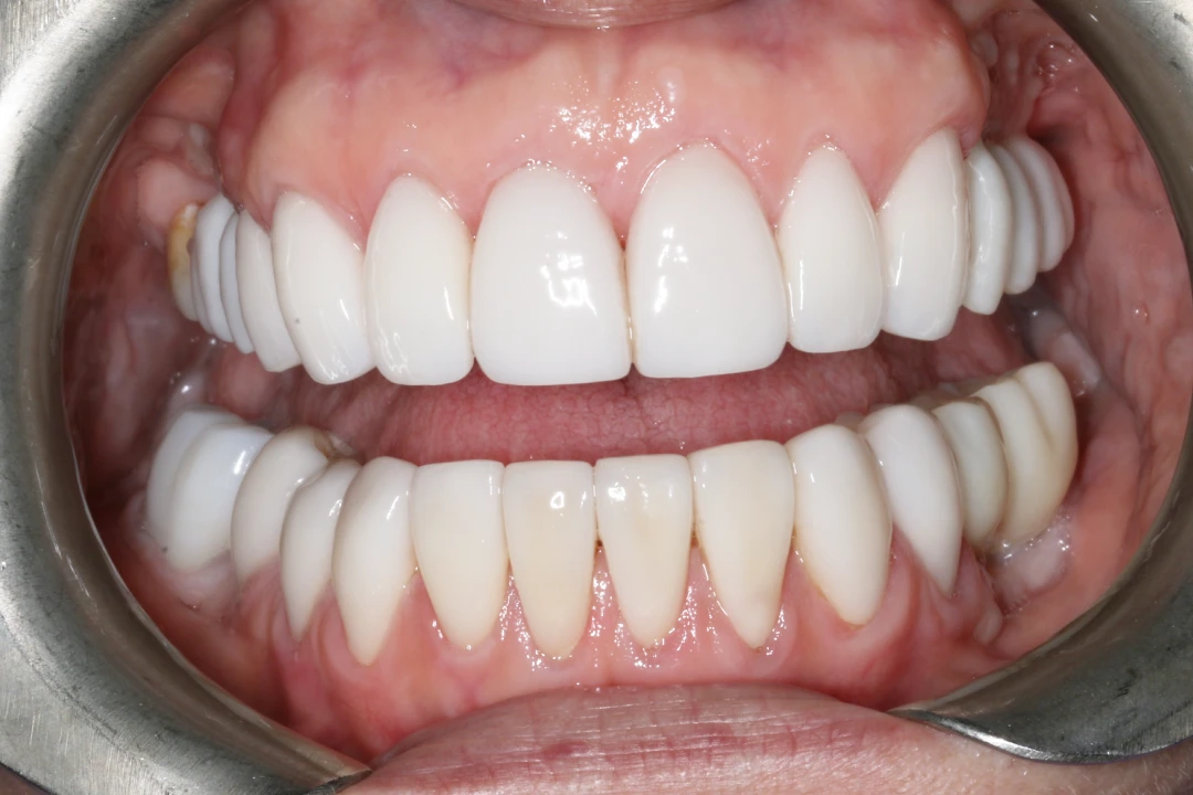
Treatment
We addressed all of her concerns by placing seven dental implants, three crowns and 14 veneers. The whole team and Georgette were thrilled with this life changing result.
Treatment Duration
Due to the various complexities presented, the treatment was completed over 24 months
Before

After

Before

After



