Elise
Problem
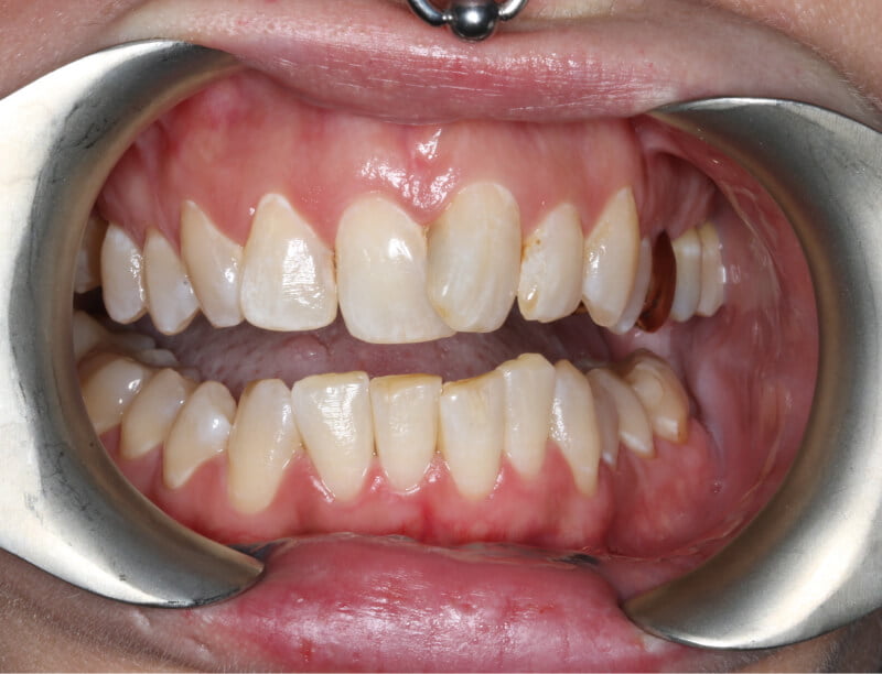
Crooked upper teeth with one of the front teeth overlapping the other. Difficulty in cleaning and preventing tooth decay.
Treatment
Orthodontic treatment using Invisalign, followed by filling to upper front tooth to aesthetically enhance smile.
Treatment Duration
15 Months
Before

After

Before

After



