Marisa
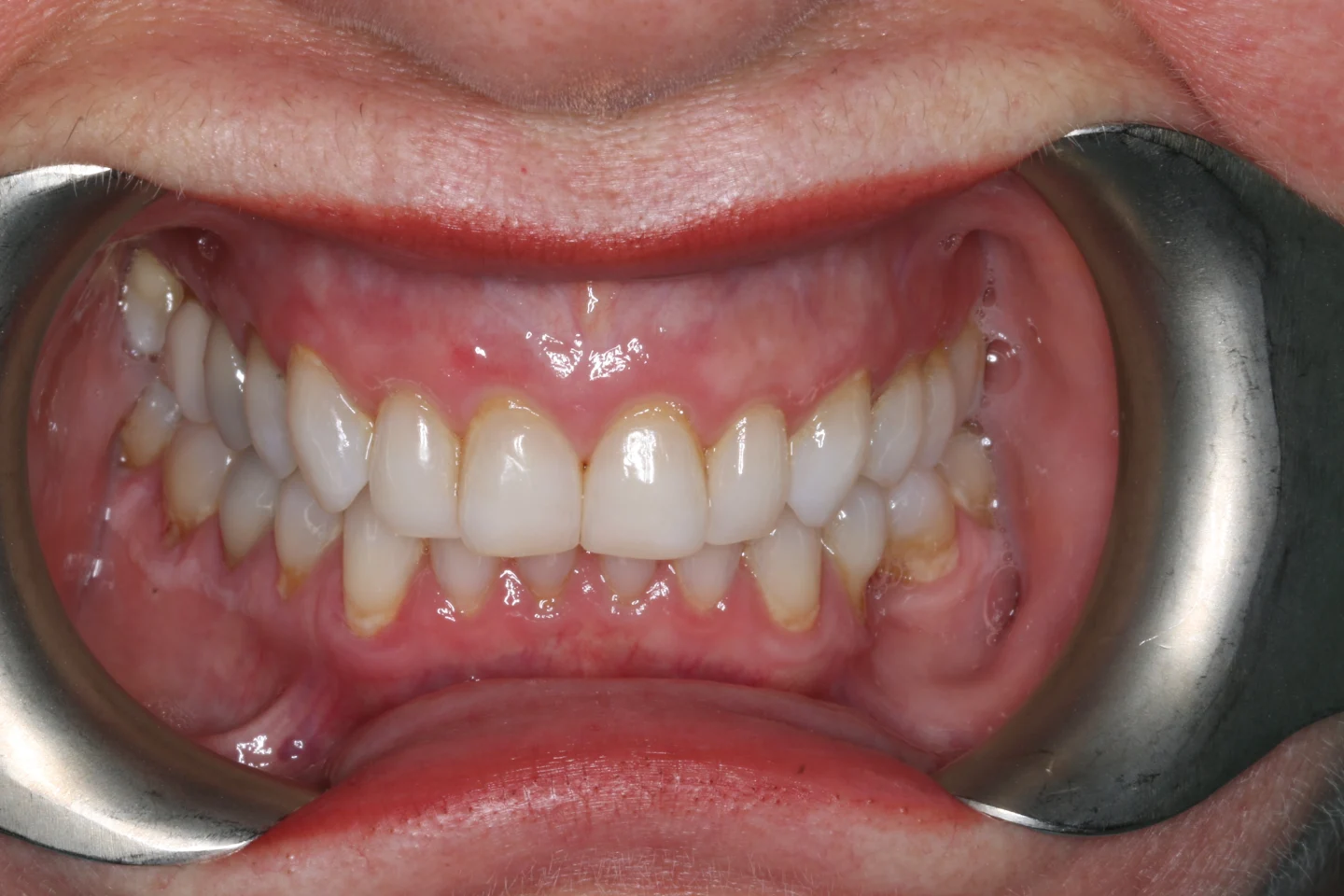
Problem
Patient’s upper front teeth moved since completing Invisalign treatment and they were no longer perfectly aligned. She also wanted to improve the colour and increase the length of her front teeth.
Treatment
Eight composite veneers were placed on her upper front teeth. Teeth were lengthened and the smile widened to provide a fuller smile which follows the contours of her lips. Marissa and Dr Shehan couldn’t be happier with the result.
Treatment Duration
One visit
Before

After

Before

After



