Brad
Problem
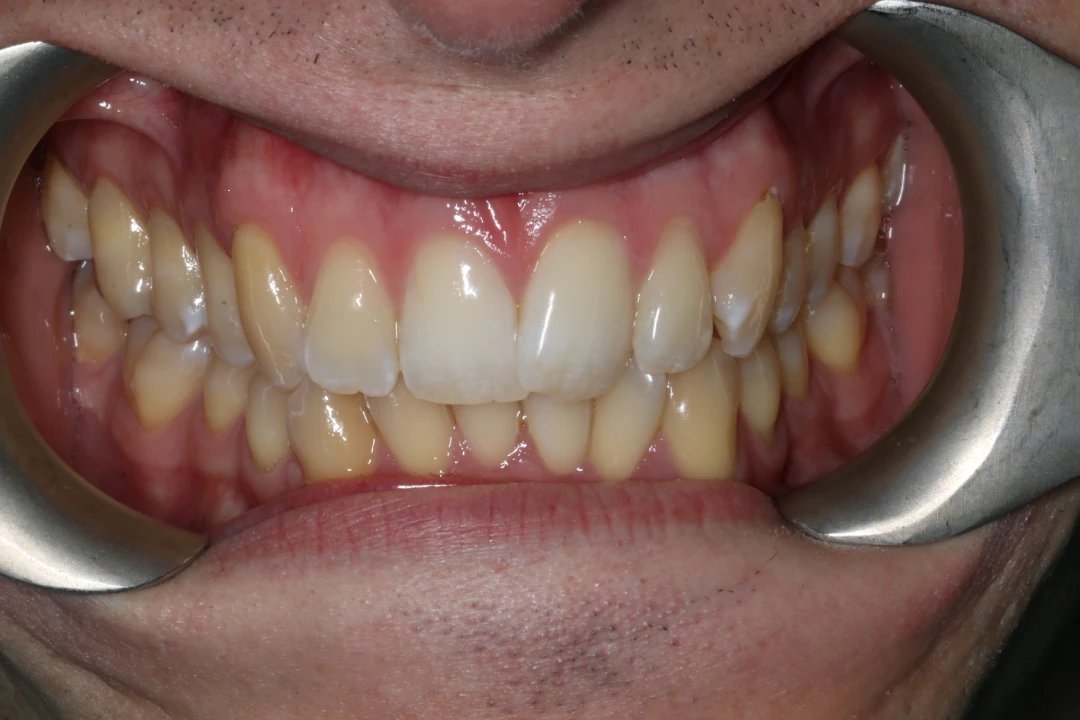
Bradley saw Dr Irena to address the misalignment and uneven edges of his teeth.
Treatment
Invisalign clear aligners were used along with edge bonding and polishing to align Bradley’s bite and improve his smile.
Treatment Duration
12 months
Before

After

Before

After



