Jim
Problem
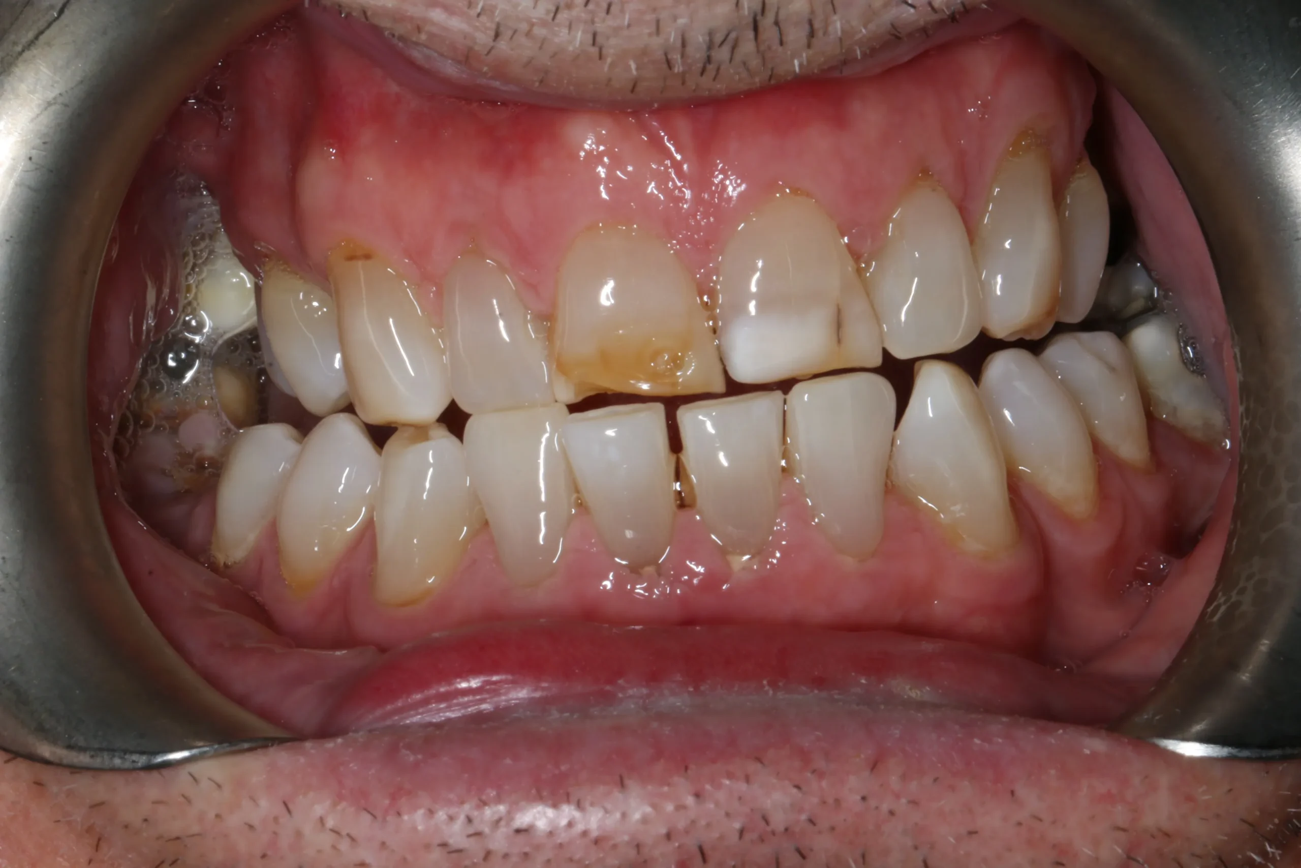
Worn, discoloured and chipped upper front teeth.
Treatment
Performing first a routine clean, two upper porcelain veneers were then placed to aesthetically enhance Jim’s smile.
Treatment Duration
2 visits
Before

After

Before

After

Worn, discoloured and chipped upper front teeth.
Performing first a routine clean, two upper porcelain veneers were then placed to aesthetically enhance Jim’s smile.
2 visits




A fee may be charged for appointments cancelled without 48 hours notice.