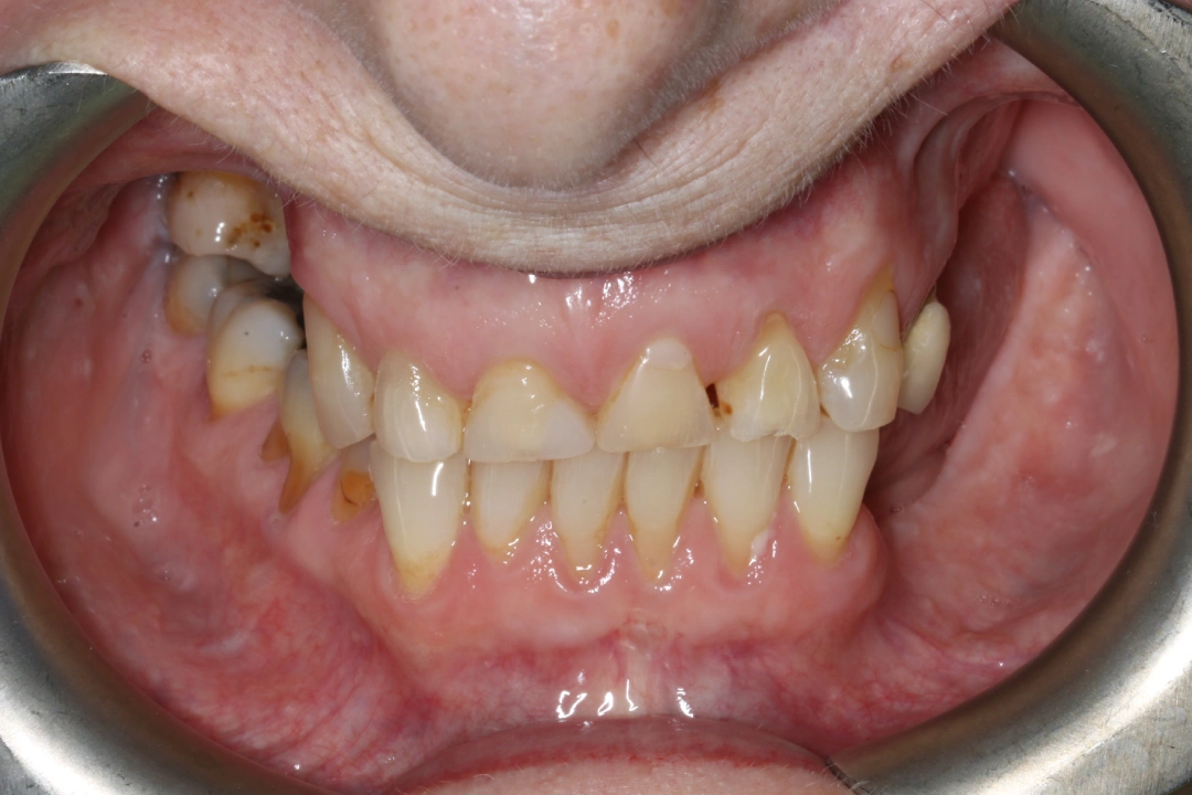
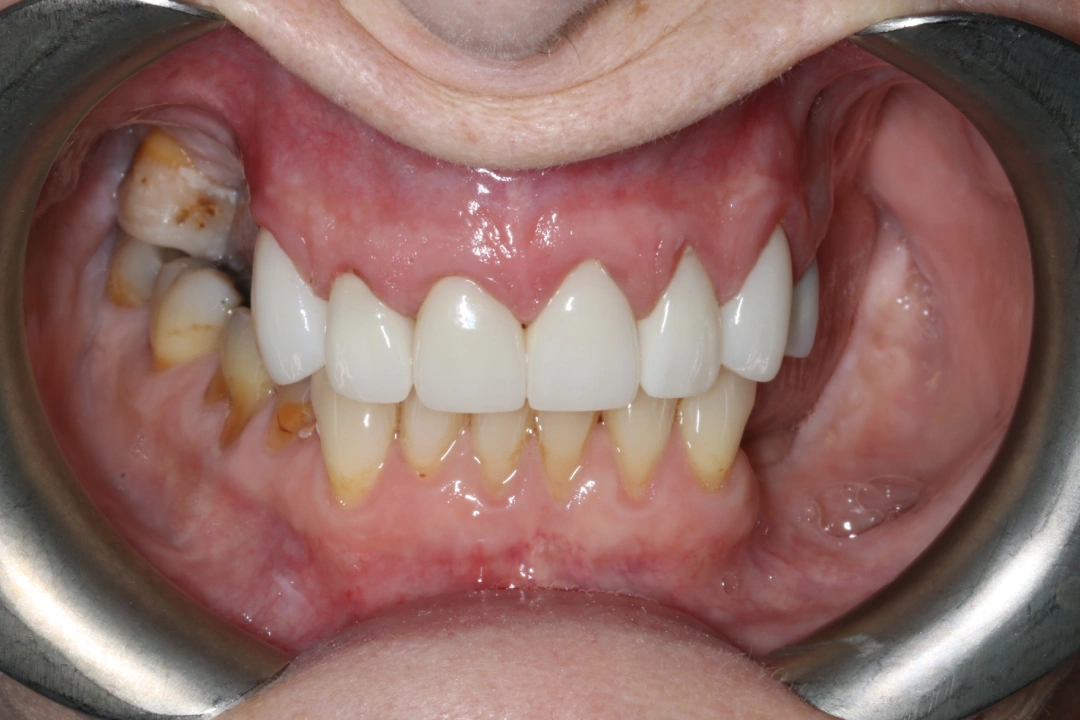
Naomi
Problem
Naomi was unhappy with her worn down, yellow and uneven upper front teeth.
Treatment
Seven porcelain crowns were placed on her upper teeth as the first phase of treatment. Second phase of treatment is to replace her back teeth. The results are amazing and Naomi is ecstatic with her new smile
Treatment Duration
8 weeks
Before

After

Before

After



