Olly
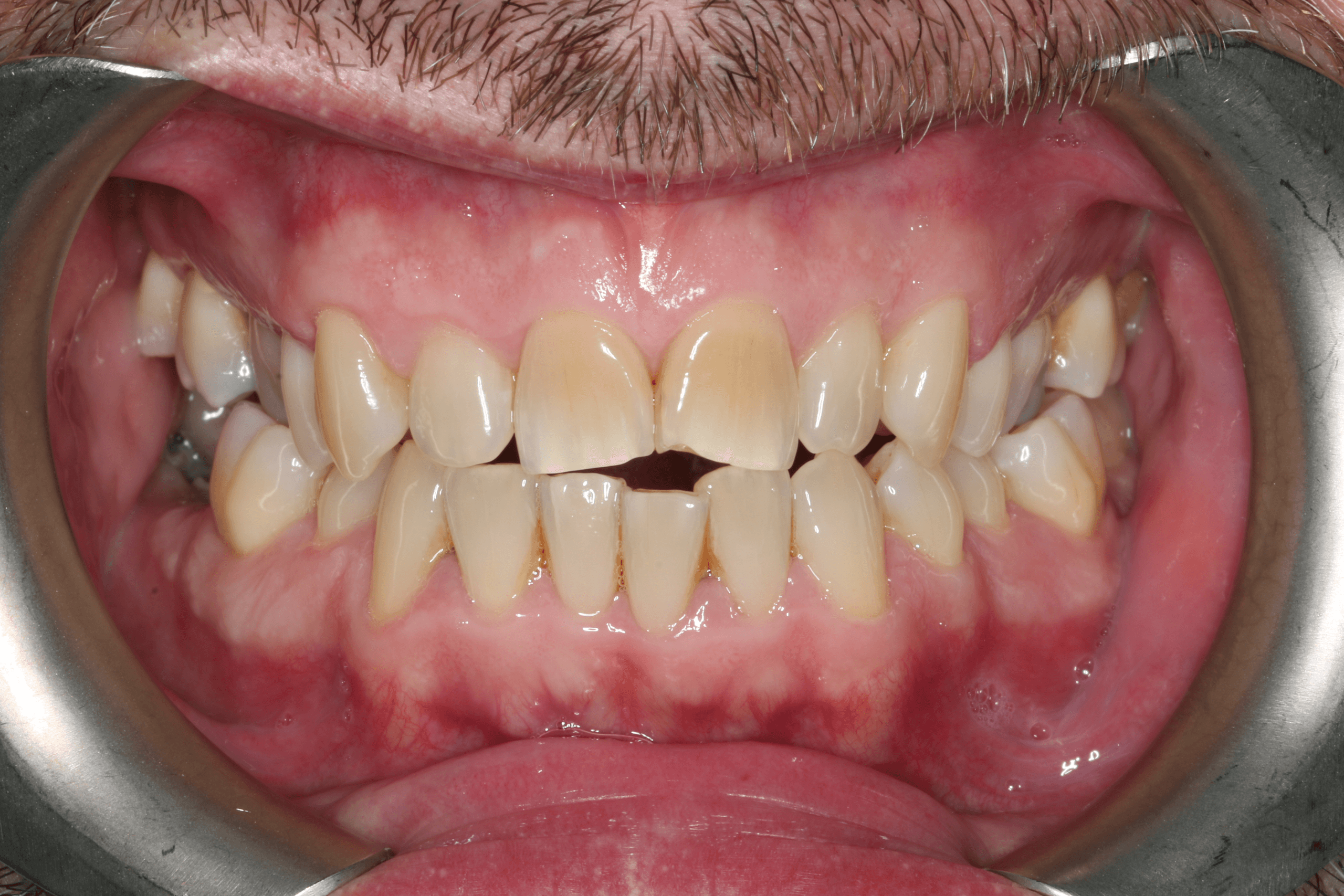
Problem
Crooked, yellow & multiple chipped teeth.
Treatment
The smile transformation commenced with the completion of Invisalign orthodontic treatment. Subsequently, both upper and lower whitening trays were used to refine and brighten the overall tooth shade. The final step involved composite bonding on the upper three front teeth, enhancing the overall aesthetics of the smile.
Treatment Duration
The Invisalign orthodontic treatment was completed over 23 months, followed by at-home teeth whitening treatment over three weeks, and concluding with a single-visit composite bonding procedure.
Before

After

Before

After



