Jasmine
Problem
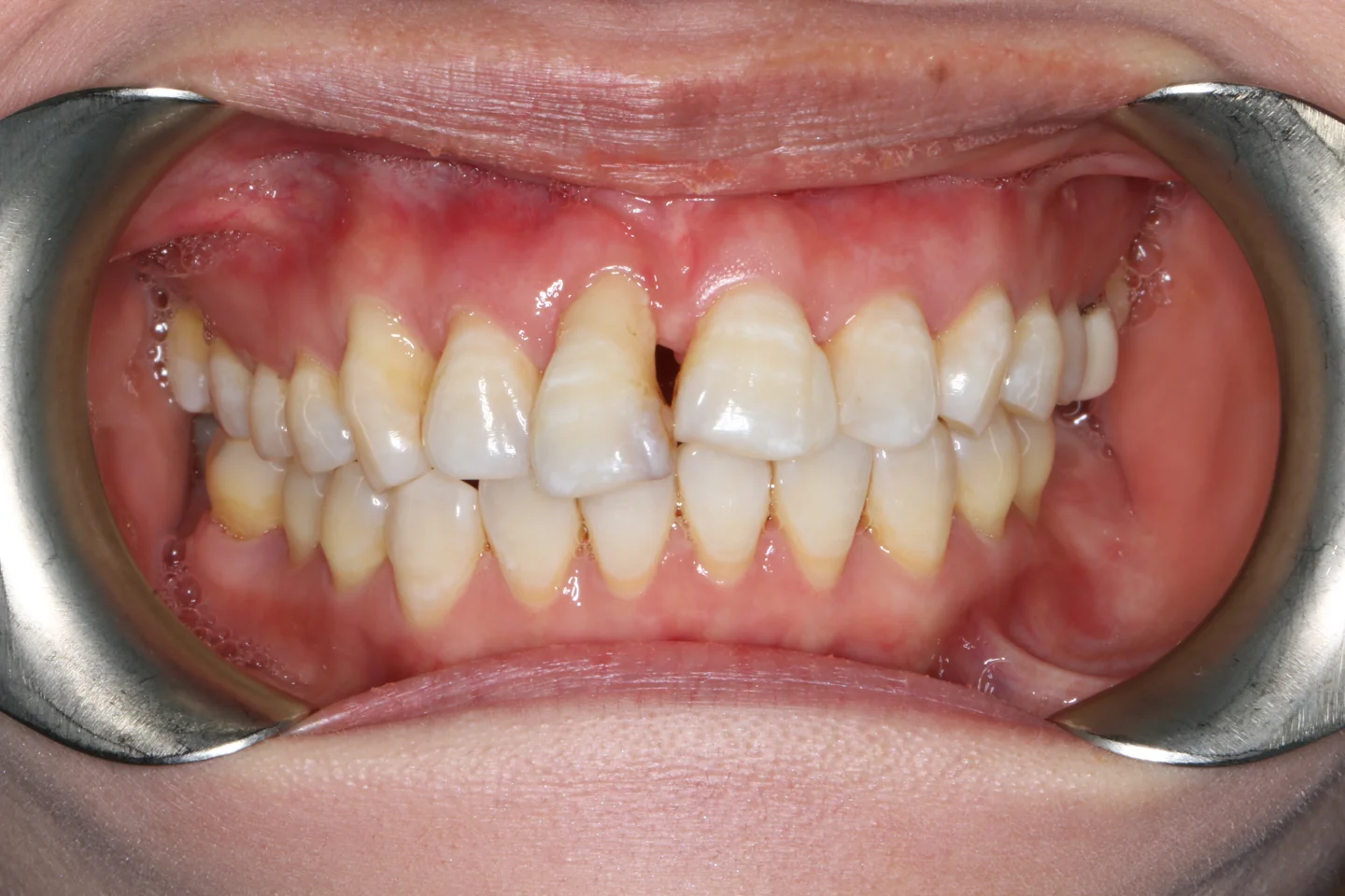
Jasmine was unhappy with the shape and mobility of her upper front incisor tooth. After seeing Dr Irena, Jasmine understood she had experienced periodontal bone loss around this tooth meaning it started drifting from its original position and was too mobile to maintain.
Treatment
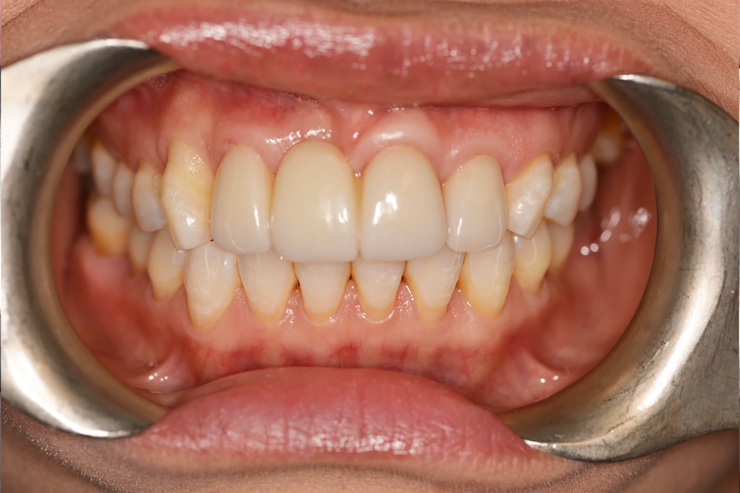
After multiple rounds of periodontal cleans to ensure Jasmine’s gums were healthy and stable, the upper front incisor tooth was removed and bone grafting placed. For the next 3 months, Jasmine had a temporary bridge in place whilst healing occurred and at-home whitening to help even out the white spots. The final phase involved a permanent porcelain bridge and veneer for the front 4 incisors. Jasmine’s ongoing maintenance involves 3 monthly cleans to keep her gums healthy. Jasmine and Dr Irena are so happy with her new smile, with colleagues and friends saying Jasmine can’t stop smiling!
Treatment Duration
6 months
Before

After

Before

After



